기업 업무 자동화 AI, '실무형 LLM' 도입이 필요할 때
테서는 다양한 데이터에 대한 분석 및 가공 경험을 통해
20개 이상의 기업과 병원에 AI 솔루션을 도입해 온 기업입니다.
그 중, 의료 데이터는 그 어떤 분야보다 까다롭고 정교함을 필요로 하는데요,
영상 데이터부터 유전체 분석 데이터, 복잡한 의학 논문과 환자의 진료 기록까지.
이 수많은 비정형 데이터를 분석해 실제 임상 현장에서 '작동'하게 만드는 것은
일반적인 범용 LLM 솔루션으로는 한계가 명확합니다.
테서(TESSER)는 단순히 언어를 생성하는 AI가 아닌,
고품질 데이터 가공 역량과 풍부한 임상 경험을 결합한 맞춤형 의료 LLM 솔루션을 제안합니다.

1. 왜 범용 'LLM'만으로는 부족할까?
최근 많은 기업이 LLM 도입을 서두르고 있지만, 실제 현장에서는 두 가지 큰 벽에 부딪힙니다.
- 전문 데이터의 부재: 도메인 지식이 학습되지 않은 AI는 잘못된 정보를 생성하는 '할루시네이션(환각)' 현상을 보입니다.
- 데이터의 품질: 데이터는 정답(Label)의 기준이 매우 엄격합니다. 데이터가 깨끗하지 않으면 모델의 신뢰도는 무너집니다.
테서는 약 5년간 2,000만 건 이상의 의료 데이터 중심의 분석 경험과 전문가 표본 검토를 거치는 4단계 품질관리 프로세스를 통해 이 문제를 해결해 왔습니다.
2. 테서가 제공하는 맞춤형 LLM 솔루션
테서의 LLM은 단순히 텍스트를 처리하는 데 그치지 않고,
영상과 수치를 이해하는 멀티모달(Multimodal) 역량을 보유하고 있습니다.

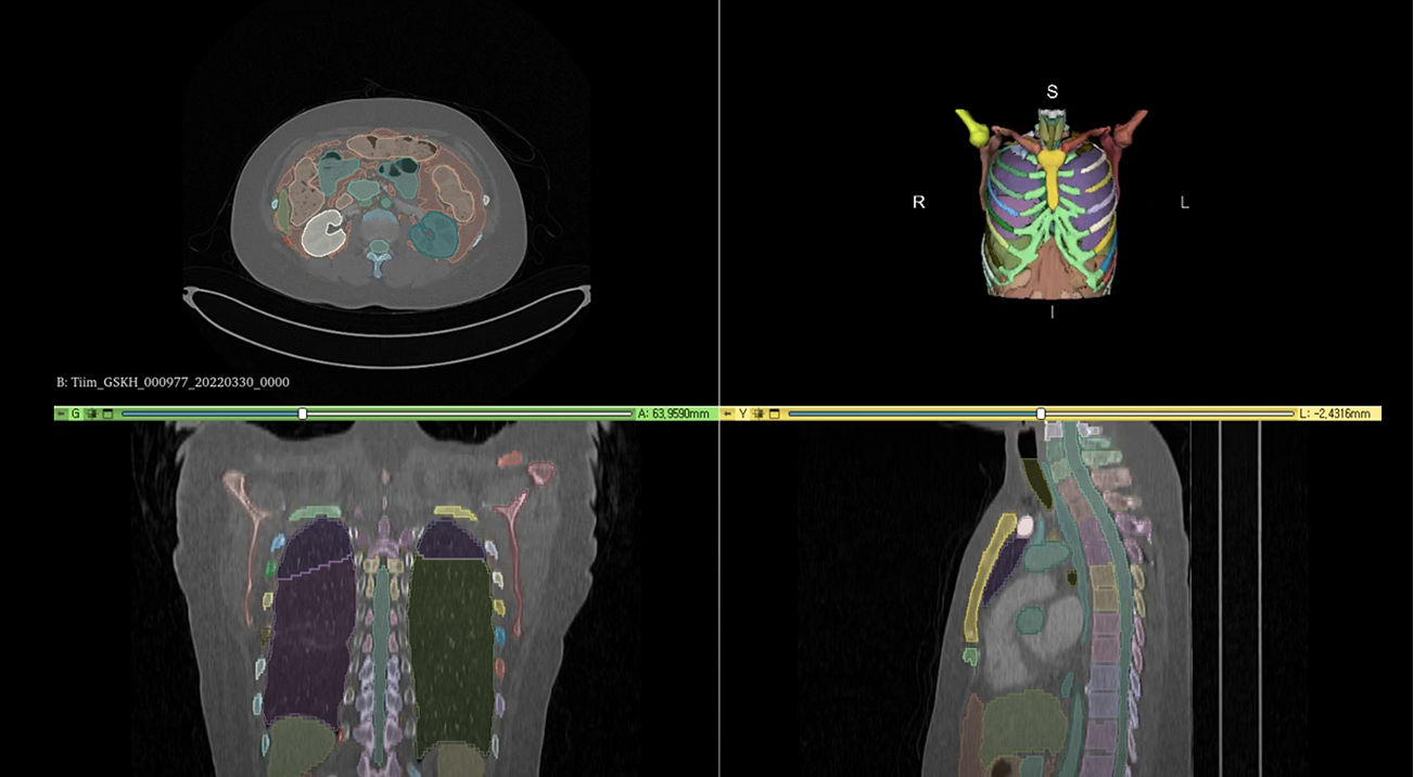
- 진단 자동화 지원 (RECIST & Segmentation)
폐암 진단 추적을 위한 RECIST 가이드라인 자동화 및 3D 디지털 트윈 솔루션과 연동하여, 의료진에게 데이터 기반의 직관적인 리포트를 제공합니다. - 의료 논문 키워드 자동 추출 및 분석
알츠하이머 논문 등 방대한 최신 연구 자료에서 핵심 정보를 실시간으로 추출하고 요약합니다. - 병리 및 유전체 분석 리포팅
복잡한 유전체 분석 결과와 병리 슬라이드 데이터를 분석해 정밀 의료 시스템 구축을 지원합니다.
3. 테서(TESSER)만의 차별화된 경쟁력
AI의 도입의 성패는 데이터 가공 역량에서 먼저 결정됩니다.
테서는 단순한 모델 개발사를 넘어, 의료 데이터의 생산 체계와 네트워크를 직접 보유하고 있습니다.
- 신뢰할 수 있는 데이터: '프리 라벨링 → 교정 → 전수 QA → 전문가 검토'로 이어지는 엄격한 가공 절차를 통해 학습 데이터의 편향을 최소화합니다.
- 강력한 의료 네트워크: 의료 플랫폼 ‘온톨(Ontol)’ 가입 병원 20+ 네트워크를 통해 현장의 피드백을 즉각적으로 모델 고도화에 반영합니다.
- 검증된 수행 역량: 30건 이상의 AI 모델 개발 프로젝트와 특허 등록, 과기부 장관상 수상이 테서의 전문성을 증명합니다.

4. 이런 기관/기업에 테서의 솔루션을 추천합니다.
- 난이도 높은 의료 데이터 가공이 필요한 팀
- 영상, 병리, 3D 데이터 등 정교한 라벨링이 필요한 경우.
- PoC를 넘어 실무 적용이 필요한 기업
- 단순한 연구용 모델이 아닌, 현장에서 작동하는 시스템 구축이 필요한 경우.
- 병원 협업 기반 실증이 필요한 곳
- 테서는 대학병원들과 MOU 및 공동연구를 통해 제휴 병원 네트워크를 보유하고 있어, 실제 임상 현장에서의 검증이 필요한 경우 입니다.
5. '데이터 품질'이 만드는 업무 자동화 혁신의 시작
업무 자동화 AI 솔루션의 가치는 결국 실무자와 경영진 모두가 체감할 수 있는 현장에 있습니다. 테서는 의료 영상부터 텍스트까지, 가장 까다로운 데이터를 가장 완벽하게 다루는 기업입니다.
우리 기업의 소중한 데이터를 진정한 가치를 지닌 AI 솔루션으로 탈바꿈하고 싶으신가요? 저희가 귀사의 업무 자동화 AI 솔루션 도입을 위한 믿을만한 파트너가 되어 드립니다.
[문의 및 협업 제안]
- Medical AI 프로젝트 20+ 수행
- 데이터 가공 프로젝트 30+ 수행
- 의료 데이터 분석 2,000만+ 가공 및 분석
테서의 구체적인 AI도입 사례가 궁금하시다면 아래 이미지 링크를 눌러주세요!
