정형외과 X-ray 판독 시간 95% 단축을 위한 데이터라벨링 후기
안녕하세요, AI 학습을 위한 데이터 라벨링 전문 기업 테서입니다.
오늘은 저희가 최근 수행한 정형외과 X-ray 데이터 라벨링 프로젝트에 대한 이야기를 나누어 보려 합니다.
의료 AI의 정밀도를 한 단계 끌어올리기 위해 어떤 고민과 과정을 거쳤는지,
그리고 이 프로젝트가 실제 의료 현장에 어떤 변화를 가져올 수 있는지에 대한 후기를 정리하여 공유합니다.
1. 프로젝트 도입 배경 및 목표
정형외과 의료 현장에서 X-ray를 판독하는 일은 생각보다 훨씬 까다롭습니다.
뼈 간의 겹침, 수술 핀 등 외부 물질로 인한 가려짐, 위치 변형, 관절 손상으로 인한 경계의 흐릿함 등 다양한 장애 요인이 존재하기 때문입니다.
이러한 복잡성 때문에 같은 정형외과 전문의 사이에서도 판독 일치도가 90%를 넘기기 어렵고, 진료 시 환자를 직접 대면하는 시간보다 영상을 분석하고 계측하는 데 더 많은 시간을 할애해야 하는 것이 현실입니다.
연구 현장의 상황은 더욱 심각했습니다.
의학 연구 논문을 작성할 때 의료 영상에서 데이터를 추출하고 엑셀이나 CSV로 정리하는 작업에만 전체 연구 기간(6개월) 중 약 3~4개월,
즉 최대 70%의 시간이 소모되는 구조적 한계가 있었습니다.
고객사는 이러한 문제를 근본적으로 해결하고자 했습니다.
X-ray 영상 내에서 분석이 필요한 영역을 자동으로 분할하고,
뼈의 각도 및 길이를 추출하여 자동 시각화해 주는 AI 솔루션을 개발하는 것이 목표였습니다.
특히, 기존에는 발(Foot) X-ray에만 국한되었던 AI 분석 기능을
무릎, 고관절, 어깨, 팔꿈치, 손목, 허리 등 총 14종류의 부위로 확장하여
서비스 범위를 대폭 넓히고 정밀도를 고도화하는 것이 핵심 과제입니다.

2. 상세 데이터 라벨링 가공 수행 내역
이를 위해 당사는 병원 내 데이터(IRB 승인 진행), 오픈 데이터셋, 보건의료영상 데이터 등
약 1,400명의 환자로부터 수집된 총 7,000장의 X-ray 영상 데이터에 대한 정밀 가공을 진행했습니다.
AI 모델이 의료 영상을 효과적으로 학습할 수 있도록, 각 부위와 촬영 방식(AP, Lateral 등)에 맞추어 세그멘테이션(Segmentation), 키포인트(Keypoint), 바운딩 박스(Bounding box) 등 세 가지 방식의 정밀 라벨링 작업을 복합적으로 수행했습니다.
모두 다 기재할 수 없지만 대략의 데이터 가공 내역은 다음과 같습니다.

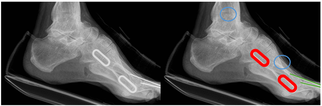
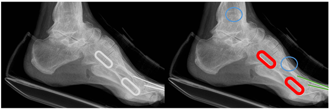
발(Foot): 1st, 2nd metatarsal bone 등 8개 영역의 세그멘테이션과 1번째 발등뼈 관절면 끝을 지정하는 4개의 키포인트, 종자골(sesamoid bone) 영역의 바운딩 박스를 라벨링했습니다.
발목(Ankle): 경골, 비골, 거골에 대한 세그멘테이션 및 경골 바깥쪽 끝에 대한 키포인트를 지정했습니다.
고관절(Hip) 및 무릎(Knee): 대퇴 근위부와 비구 등의 세그멘테이션, tear drop 및 대퇴 골두를 포함한 다수의 키포인트 검출 작업을 진행했습니다.
어깨(Shoulder) 및 손목(Wrist): 상완골(humerus), 견봉(acromion), 주상골(scaphoid) 등 구조물을 분할하는 다중 클래스 세그멘테이션(Multi class Segmentation)과 세부 좌표를 지정했습니다.



고객사와 데이터라벨링 가이드 업무 협의서 일부
3. 데이터 보안 및 민감 정보 보호 대책
의료 데이터를 다루는 만큼, 보안은 저희가 가장 신경 쓴 부분 중 하나입니다.
후향적 코호트 데이터 수집 과정에서 자동화 프로세스를 통해 개인 식별 정보가 노출되지 않도록 익명화 및 비식별화 처리를 1차적으로 진행했습니다. 이후 보안서약서를 작성한 최소한의 지정 연구원만이 암호가 설정된 제한된 시스템 환경에서 데이터에 접근하도록 조치하여, 외부 유출 가능성을 철저히 차단했습니다.
4. 데이터 가공 후 솔루션 검증 목표
이번 프로젝트는 고품질로 라벨링될 7,000장의 데이터를 기반으로 솔루션을 고도화하여, 고객사가 달성하고자 하는 목표는 정량적으로 매우 구체적입니다.
작업 시간 95% 단축
기존에 전문의가 족부 X-ray 100명 기준으로 4개 지표를 수작업 추출할 때 4주(40시간)가 걸리던 작업을, AI 모델 적용으로 단 2시간으로 줄이는 것을 목표로 합니다.
정확도 13%p 향상
전공의 2년 차의 평균 측정 정확도인 81%를 넘어, AI 자동 측정을 통해 94%의 정확도를 달성하여 기존 대비 13%p 이상의 정확도 향상을 이끌어내고자 합니다.
높은 시장 수요 확인
사전 베타테스트 수요 조사(의료계 종사자 42명 대상)에서 95%가 기능의 필요성에 공감했으며,
전체 응답자의 86%가 유료 결제 의향(월 60달러 기준)을 보였습니다.
특히 3차 병원 90%, 의대생 80%, 개인병원 67%로 전반적으로 높은 결제 의향이 확인되었습니다.
이는 기존 타 업체의 의료 영상 AI 진단 활용률인 4.7%에 비하면 매우 고무적인 수치라고 생각합니다.
이번 프로젝트는 단순히 데이터에 라벨을 붙이는 작업이 아니었습니다.
정형외과 전문의의 판독 과정을 깊이 이해하고, 14종류의 부위별 해부학적 특성에 맞는 정밀한 라벨링 체계를 설계하며,
환자 정보 보호까지 빈틈없이 관리하는 종합적인 과정이었습니다.
고품질의 데이터가 만들어내는 차이는 결국 AI 모델의 성능으로 증명됩니다.
이번 7,000장의 정밀 라벨링 데이터를 기반으로,
고객사의 AI 솔루션이 의료 현장에서 실질적인 변화를 만들어내는 모습을 기대하고 있습니다.
의료 AI를 위한 데이터 라벨링, 테서가 함께하겠습니다.
테서는 의료, 제조 등 다양한 산업 분야의 업무 자동화를 위한
AI 학습 데이터 구축을 전문으로 하고 있습니다.
프로젝트 문의는 언제든 환영합니다.
